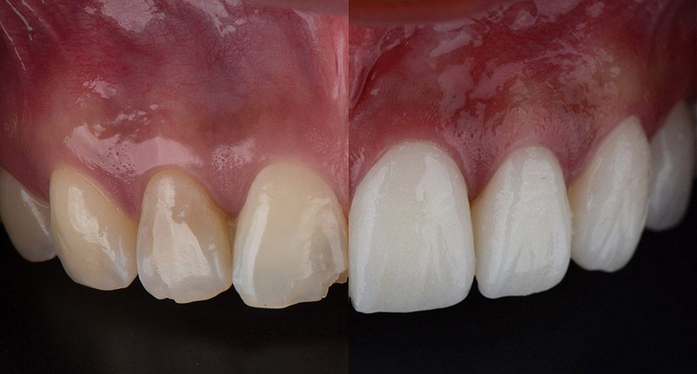
Composite veneers are one of the most popular cosmetic dental treatments in London, offering a quick, affordable, and minimally invasive way to improve your smile. These thin layers of tooth-coloured resin are applied directly to the front of your teeth to correct discoloration, minor chips, gaps and uneven shapes. Unlike traditional porcelain veneers, composite veneers can often be completed in a single appointment, making them an ideal solution for busy London professionals.
This comprehensive guide explains everything you need to know about composite veneers, including their benefits, procedure, costs, maintenance and how Whites Dental in Waterloo and Marble Arch can help you achieve a confident, beautiful smile.
Key Takeaway
Composite veneers are thin layers of composite resin applied to the front surface of teeth to improve aesthetics. They are a cost effective treatment – are minimally invasive – and are often used to correct conditions such as discoloration, minor misalignments, teeth gaps and chips/cracks. Unlike porcelain veneers, they can often be applied in a single visit, are easily repairable and provide a natural-looking smile. Proper care can extend their lifespan to 5–7 years. Whites Dental, with two locations in Central London – Waterloo and Marble Arch – offers cosmetic treatments tailored to a patient’s individual needs.
Understanding Composite Veneers

High-quality composite veneers are made from a durable, tooth-coloured resin similar to the material used in dental fillings. The dentist applies and sculpts this resin directly onto the tooth surface, allowing precise control over the shape, size, and colour of the teeth. This makes composite veneers highly customizable and ideal for addressing a range of cosmetic dental concerns.
Key Features of Composite Veneers
- Natural-looking tooth-colored material
- Minimally invasive with little to no enamel removal
- Immediate results, often in one visit
- Easily repairable if chipped or damaged
- Affordable alternative to porcelain veneers
💡Composite veneers are perfect for patients who want a subtle yet transformative smile enhancement without altering their natural teeth excessively.
Who Is Suitable For Composite Veneers?
Not everyone is an ideal candidate for composite veneers, but they are highly versatile for many cosmetic concerns.
Ideal Candidates
- Individuals with minor chips or fractures in their teeth
- Teeth that are discolored or stained and do not respond well to whitening
- Patients with small gaps between teeth
- Teeth with uneven shapes or sizes
- Those looking for quick cosmetic improvements
Factors Affecting Suitability
- Good oral hygiene is essential
- Severe misalignments may need orthodontic treatment first
- Teeth grinders or those with habits like nail-biting may need protection
💡 A consultation at Whites Dental can help determine if composite veneers are suitable for your teeth and lifestyle.
The Composite Veneer Procedure

The application of composite veneers is fast, precise, and minimally invasive. Most patients notice immediate improvements after just one visit.
Step 1: Initial Consultation
During the consultation, the dentist will:
- Examine your teeth and overall oral health
- Discuss your cosmetic goals and expectations
- Recommend the shade and shape of veneers that suit your smile
- Plan the procedure based on your bite and facial structure
Step 2: Tooth Preparation
- Little to no enamel is removed
- Teeth are cleaned and lightly etched to enhance bonding
Step 3: Application of Composite Resin
- Resin is applied in layers, sculpted for the desired shape
- Each layer of composite resin is hardened by the dentist using a special light
- Fine adjustments are made to achieve natural contours
Step 4: Finishing and Polishing
- The dentist polishes the veneers for a smooth, glossy finish
- Bite alignment is checked for comfort and function
💡 Composite veneers can often be completed in a single session, making them ideal for busy Londoners who cannot take multiple days off for dental appointments.
Benefits Of Composite Veneers

Composite veneers offer a range of advantages compared to other cosmetic dental options.
- Minimally invasive with little to no enamel removal
- Cost-effective compared to porcelain veneers
- Immediate results, perfect for last-minute cosmetic improvements
- Easily repairable in case of chips or cracks
- Highly customizable in shape and shade
Cosmetic Advantages
- Whiter, brighter teeth
- Correct minor misalignment and gaps
- Enhance tooth shape and size
- Boost confidence and self-esteem
💡 Regular dental hygiene and check-ups are essential to maintain the aesthetic and functional benefits of dental veneers.
Composite Veneers Vs Porcelain Veneers
Understanding the difference between composite and porcelain veneers helps you choose the right option.
| Feature | Composite Veneers | Porcelain Veneers |
|---|---|---|
| Cost | More affordable | Higher cost |
| Procedure | Usually one visit | Multiple visits |
| Durability | 5–7 years | 10–15 years |
| Repairability | Easily repaired | Requires replacement |
| Appearance | Natural, slightly less glossy | Highly lustrous and natural |
💡 Composite veneers are ideal for patients seeking affordable, quick, and reversible cosmetic improvements, whereas porcelain veneers are better for long-term durability.
Maintenance And Longevity

Proper care is crucial to prolong the life of composite veneers.
Daily Care
- Brush twice a day with a non-abrasive toothpaste
- Floss daily to prevent decay and gum issues
- Avoid biting hard objects such as pens, ice, or nuts
Professional Care
- Dental check-ups every six months
- Professional polishing to remove surface stains
Longevity
- Composite veneers typically last 5–7 years
- Repairable if chipped or damaged
- May require replacement after several years
💡 Avoid tobacco and stain-causing foods and beverages to maintain the natural brightness of your teeth veneers.
Potential Risks And Considerations

While composite veneers are safe, potential risks include:
- Chipping or cracking from hard food or bad habits
- Surface staining over time
- Less durable than porcelain veneers
- May need periodic touch-ups or replacements
💡 Choosing an experienced cosmetic dentist, like those at Whites Dental, significantly reduces the risk of complications.
Cost Of Composite Veneers In London
The cost depends on the number of teeth, complexity of treatment, and the dental practice.
- Single veneer: £250–£500
- Multiple veneers/full smile makeover: £1,500–£5,000
- Consultation fees may vary
Factors affecting cost:
- Experience and expertise of the dentist
- Materials and technology used
- London location and convenience
💡 Investing in an experienced cosmetic dentist ensures high-quality, long-lasting results rather than simply choosing based on price.
How Composite Veneers Can Transform Your Smile in London
Imagine James, a marketing professional living near Marble Arch, who was self-conscious about minor gaps and yellowing teeth. After a consultation at Whites Dental Marble Arch, he received composite veneers for his upper teeth. Within one visit, his smile became uniform, bright, and natural-looking. The transformation not only enhanced his appearance but also boosted his confidence during client meetings.
Composite veneers in London are especially popular among professionals, media personalities, and social influencers who need quick, visible results. The ability to customize the shape, shade, and alignment allows dentists to cater to a wide variety of aesthetic preferences.
💡 For best results, we recommend visiting a London veneers dentist who is very experienced in designing dental veneers that complement your facial features.
Composite Veneers At Whites Dental
Whites Dental is a trusted provider of some of the best composite veneers with two convenient locations: Waterloo and Marble Arch. Our team of highly trained cosmetic dentists ensures that your smile makeover with veneers is:
- Custom-designed for natural aesthetics
- Applied with precision for optimal comfort and appearance
- Supported with follow-up care and guidance
Why Choose Whites Dental?
- Highly experienced cosmetic dental team
- State-of-the-art technology for precise application
- Personalized smile planning and consultations
- Convenient locations for easy access across London
💡Scheduling a consultation at Whites Dental allows you to explore tailored options and understand how composite veneers can transform your smile.
Frequently Asked Questions About Composite Veneers
How Long Do Composite Veneers Last?
Typically 5–7 years with proper care. Regular check-ups can extend their longevity.
Are Composite Veneers Painful?
The procedure is minimally invasive and generally painless, usually requiring little to no anesthesia.
Can Composite Veneers Be Whitened?
No. If staining occurs, professional polishing or minor repairs are used to restore brightness.
Are Composite Veneers Suitable For All Teeth?
Best for front teeth and minor cosmetic issues; severe misalignments may require orthodontic treatment first.
💡 Always consult a qualified cosmetic dentist to ensure veneers are suitable for your specific dental needs.
Final Thoughts
Composite veneers are a very versatile cosmetic procedure – that is affordable and a minimally invasive solution – for having a smile makeover. They provide natural aesthetics, fast results, and are easily repairable. With proper care, they can transform your smile for years to come.
For expert composite veneer treatments in London, Whites Dental provides personalized care at their Waterloo and Marble Arch locations. From consultation to application and aftercare, their experienced team ensures your smile is bright, natural, and confident.
Investing in composite veneers can improve your dental appearance and self-esteem. Whether correcting minor cosmetic concerns or achieving a full smile makeover, composite veneers offer an accessible and reliable solution.
💡 Choose a trusted cosmetic dental practice like Whites Dental to achieve a natural, long-lasting, and beautifully enhanced smile with composite veneers.